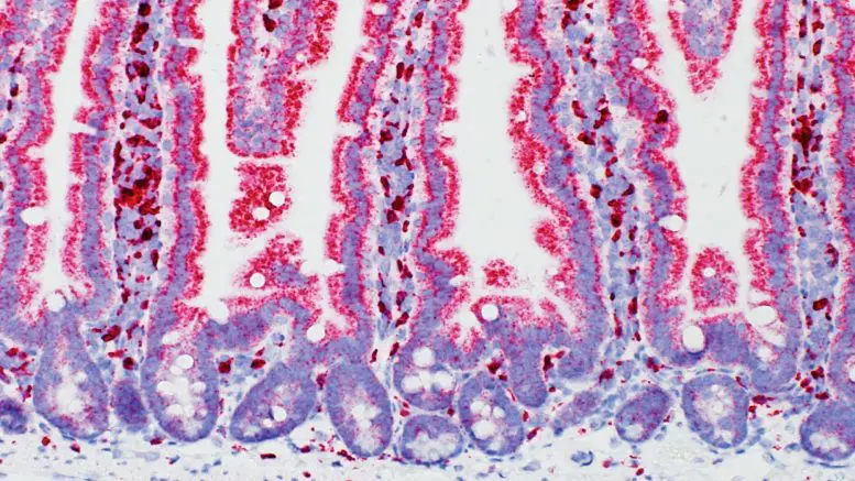
A microscopic image of a normal mouse small intestine. Cells stained red express normal amounts of cell-surface tags (MHC-II) needed by immune cells to find threats like infections or cancer. High-fat diets reduce the levels of MHC-II tags in intestinal cells, and so the immune system has a harder time recognizing intestinal tumors. Credit: Beyaz lab/CSHL, 2021
The immune system relies on cell surface tags to recognize cancer cells. CSHL researchers discovered mice who ate high-fat diets produced less of these tags on their intestinal cells, suppressing the ability of immune cells to identify and eliminate intestinal tumors. The high-fat diet also reduced the presence of certain bacteria in the mice’s gut, which normally helps maintain the production of these tags.
A high-fat diet increases the incidence of colorectal cancer. Cold Spring Harbor Laboratory Fellow Semir Beyaz and collaborators from Harvard Medical School and Massachusetts Institute of Technology have discovered that in mice, fat disrupts the relationship between intestinal cells and the immune cells that patrol them looking for emerging tumors. Reconfiguring the gut microbiome may be a way to heal the relationship.
The immune system patrols tissues looking for and eliminating threats. Certain immune cells look for tags that distinguish between normal and abnormal cells. One tag, called MHC-II, helps target cells for destruction. Cell-surface MHC-II activates the immune system to destroy that cell, whether it is just worn out or about to become cancerous. Beyaz and his colleagues found that when mice ate diets high in fat, MHC-II levels were suppressed in intestinal cells. Cells with reduced levels of these tags were not recognized as abnormal and thus could grow into tumors. Charlie Chung, a Stony Brook University graduate student-in-residence in Beyaz’s lab, says, “If we alter the level of these immune recognition molecules in a positive way, then the tumor will more likely be recognized by the immune cell. We hope this can be coupled with the existing strategies, such as immunotherapy, to eradicate tumors.”
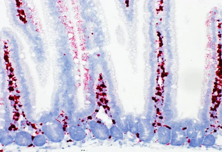
Intestinal cells of a mouse that were fed a high-fat diet. The intestinal cells express less of the MHC-II tag than found in a gut from mice fed a normal diet. Credit: Beyaz lab/CSHL, 2021
The researchers found that a high-fat diet changed the mouse’s intestinal microbiome (the mixture of microbes in the gut). Several bacteria, including ones called Helicobacter, increase MHC-II, which may help immune cells locate abnormal cells. The team did a “dirty roommate” experiment where mice without these bacteria were housed with ones that had it. The “clean” mice became infected with the Helicobacter bacteria and produced more of the MHC-II tag.
The scientists’ findings suggest a new way to boost current immunotherapy treatments against cancer. Increasing the production of this MHC-II tag, either by diet, drugs, or changing the microbes in the body, can help the immune system recognize and eliminate cancer cells. Beyaz says:
“This interaction between diet, microbes, and immune recognition has the potential to help us explain how lifestyle factors can contribute to tumor initiation, progression, or response to therapy.”
Cancer cells use many tricks to avoid being recognized as abnormal by the immune system, but Beyaz hopes he’s found several ways to outwit them.
Reference: “Dietary suppression of MHC class II expression in intestinal epithelial cells enhances intestinal tumorigenesis” by Semir Beyaz, Charlie Chung, Haiwei Mou, Khristian E. Bauer-Rowe, Michael E. Xifaras, Ilgin Ergin, Lenka Dohnalova, Moshe Biton, Karthik Shekhar, Onur Eskiocak, Katherine Papciak, Kadir Ozler, Mohammad Almeqdadi, Brian Yueh, Miriam Fein, Damodaran Annamalai, Eider Valle-Encinas, Aysegul Erdemir, Karoline Dogum, Vyom Shah, Aybuke Alici-Garipcan, Hannah V. Meyer, Deniz M.Özata, Eran Elinav, Alper Kucukural, Pawan Kumar, Jeremy P. Mc Aleer, James G. Fox, Christoph A. Thaiss, Aviv Regev, Jatin Roper, Stuart H. Orkin and Ömer H. Yilmaz, 15 September 2021, Cell Stem Cell.
DOI: 10.1016/j.stem.2021.08.007
Funding: National Cancer Institute, Oliver S. and Jennie R. Donaldson Charitable Trust, Mathers Foundation, STARR Cancer Consortium, Mark Foundation For Cancer Research, National Institutes of Health, Massachusetts Institute of Technology Stem Cell Initiative, Pew Foundation, Howard Hughes Medical Institute, American Association of Immunologists Career Reentry Fellowship
